医图在手

由 medjpg 创建于 2026-03-24

查看图片需登陆
实时分享互动的医学空间

胃肠 再骨折 皮片 软骨肉瘤 外科 椎体成型 神经鞘瘤 内科 膝关节 植入芯片 滑膜瘤 骨肿瘤 少年高血压 跟骨 尺桡骨 皮肌炎 跟骨脂肪瘤 肩关节置换术后 内生骨软骨瘤 髂骨肿瘤 结节性硬化病 跟骨动脉瘤样骨囊肿 ube 生存指南 肌肉骨骼 口腔牙齿 masquelet hill sachs 器官捐献 股骨颈 儿科 肱骨髁上 踝关节肿瘤 骨性关节炎 肌腱止点 腰背痛:不开检查医生就不会看病了吗? 腰大肌脓肿 tfcc 逆行髓内钉 肘关节 肌无力 第一腕掌关节成型 类风湿性关节炎 全髋关节置换 susac综合征 CT扫描和癌症 腰椎 骨肿瘤感染 皮肤 跟骨病变 颅脑 颅脑肿瘤 强直性脊柱炎 神经内科 骨骺滑脱 弹性髓内钉 椎管内肿瘤 银屑病性关节炎 三踝 脑膜瘤 夏季损伤 尺骨鹰嘴骨折 环状混合痔 呼吸和肺 髌骨 神经瘤 测试 脑出血 石骨症 胫骨平台 跟骨单房性巨细胞瘤 医疗创新 骶椎病变 舟骨 右侧髂骨膨胀性骨质破坏,边缘有硬化,骨皮质不完整,有骨膜反应,可见边缘不清、形态不规则钙化、骨化影。考虑嗜酸性肉芽肿可能。 深度电极 Hillsachs 腰椎间盘突出 自我推销 钢铁侠 桡骨 桡骨远端板反上 VenusA-Plus 骨生长障碍线 Von Hippel-Lindau 脑血肿 硬膜撕裂 间歇性胸痛 纤维肉瘤 医学科普 锁骨钩 肱骨近端 股骨转子间 髋关节置换 切口情况 跟骨空心钉 脊柱 尤文氏肉瘤 法洛四联症 颅内表皮样囊肿 医学图片 椎间孔镜 外翻膝tka 肩锁关节脱位 骨样骨瘤 心胸循环 心率 可调外架 骨肉瘤 妇产科 嗜酸性肉芽肿 转子间骨折 肺栓塞 拍照 喙肱中韧带前盂唇 软骨母细胞瘤 肿瘤 跟骨囊肿 AOSD tillaux骨折 椎体终板炎的分型分级、诊断、治疗策略! 跖跗关节 崴脚了为什么要外固定?因为...... 死亡率近乎 100% 的破伤风,预防和治疗都不能马虎! 股骨髓内钉

最新文章

皮肌炎的披肩征
查看图片需登陆

皮肌炎的披肩征...

由 medjpg 发表于 2026-03-24 22:32

重症肌无力冰块试验
查看图片需登陆

重症肌无力冰块试验...

由 medjpg 发表于 2026-03-24 22:32

77岁老年男性,突发昏迷24小时入院。既
查看图片需登陆

77岁老年男性,突发昏迷24小时入院。既往无高血压病史。近半年右前臂背侧常有皮下淤血斑。...

由 medjpg 发表于 2026-03-24 22:32

先前脑外伤血肿的补充
查看图片需登陆

先前脑外伤血肿的补充...

由 medjpg 发表于 2026-03-24 22:32

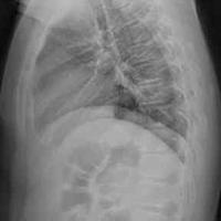
82岁老年女性,胸12椎体骨折。行球囊扩
查看图片需登陆

82岁老年女性,胸12椎体骨折。行球囊扩张椎体成型术...

由 medjpg 发表于 2026-03-24 22:32

支架撑开并保留的椎体成型
查看图片需登陆

支架撑开并保留的椎体成型...

由 medjpg 发表于 2026-03-24 22:32

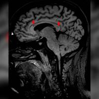
发现颅内占位5天,脑膜瘤?
查看图片需登陆

发现颅内占位5天,脑膜瘤?...

由 medjpg 发表于 2026-03-24 22:32

一名患者因摔伤肘部至医院就诊,接下来的治
查看图片需登陆

一名患者因摔伤肘部至医院就诊,接下来的治疗是什么?...

由 medjpg 发表于 2026-03-24 22:32

肩关节前脱位伴明显的Hill Sachs
查看图片需登陆

肩关节前脱位伴明显的Hill Sachs....

由 medjpg 发表于 2026-03-24 22:32

椎管减压时的硬膜撕裂。您如何处理这些并发
查看图片需登陆

椎管减压时的硬膜撕裂。您如何处理这些并发症...

由 medjpg 发表于 2026-03-24 22:32

夏季损伤,注意看这几个案例。1.晒伤。2
查看图片需登陆

夏季损伤,注意看这几个案例。1.晒伤。2.不明皮疹。...

由 medjpg 发表于 2026-03-24 22:32

女性,左食指末节神经纤维瘤
查看图片需登陆

女性,左食指末节神经纤维瘤...

由 medjpg 发表于 2026-03-24 22:32