最新博客
告示栏
最新文章
跟骨骨髓窦
跟骨骨髓窦...
跟骨脂肪瘤,中央亮点为脂肪瘤钙化
跟骨脂肪瘤,中央亮点为脂肪瘤钙化...
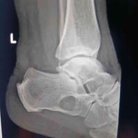
跟骨动脉瘤样骨囊肿
跟骨动脉瘤样骨囊肿...
跟骨单房性巨细胞瘤
跟骨单房性巨细胞瘤...
发现颅内占位5天,脑膜瘤?
发现颅内占位5天,脑膜瘤?...
女, 16 岁, 左髂部疼痛,软组织肿块
女, 16 岁, 左髂部疼痛,软组织肿块数月,髋关节活动受限。 左髂骨溶骨性破坏,伴有巨大软组织肿块,病灶累及髋臼。考虑骨肉瘤可能大。...
女, 6 岁, 跛行3年,右髋活动受限4
女, 6 岁, 跛行3年,右髋活动受限4月...
女, 12 岁, 右肘关节疼痛,肱骨下段
女, 12 岁, 右肘关节疼痛,肱骨下段溶骨性骨质破坏,未见明显骨膜增厚,考虑嗜酸性肉芽肿可能。...
一例19岁男性TFCC损伤患者
一例19岁男性TFCC损伤患者...
关注的博客
标签云
死亡率近乎 100% 的破伤风,预防和治疗都不能马虎!
类风湿性关节炎
右侧髂骨膨胀性骨质破坏,边缘有硬化,骨皮质不完整,有骨膜反应,可见边缘不清、形态不规则钙化、骨化影。考虑嗜酸性肉芽肿可能。
深度电极
锁骨钩
跟骨空心钉
皮肌炎
内科
科学技术
电脑网络
切口情况
肌腱止点
内生骨软骨瘤
胫骨平台
ube
骨性关节炎
外翻膝tka
滑膜瘤
软件应用
脑出血
外科
软骨母细胞瘤
AOSD
髂骨肿瘤
椎管内肿瘤
骨肿瘤感染
皮肤
颅脑肿瘤
纤维肉瘤
肩关节置换术后
跟骨脂肪瘤
银屑病性关节炎
桡骨
news
跟骨动脉瘤样骨囊肿
再骨折
皮片
嗜酸性肉芽肿
尺桡骨
Hillsachs
喙肱中韧带前盂唇
少年高血压
桡骨远端板反上
骨骺滑脱
跟骨囊肿
frp
肱骨髁上
自我推销
肌无力
钢铁侠
肩锁关节脱位
转子间骨折
脑血肿
肌肉骨骼
医学科普
肱骨近端
儿科
弹性髓内钉
环状混合痔
硬膜撕裂
髋关节置换
hill sachs
尤文氏肉瘤
跟骨单房性巨细胞瘤
肘关节
腰背痛:不开检查医生就不会看病了吗?
间歇性胸痛
骨肿瘤
骨样骨瘤
拍照
第一腕掌关节成型
石骨症
股骨转子间
susac综合征
法洛四联症
软骨肉瘤
可调外架
百味生活
masquelet
骶椎病变
椎体终板炎的分型分级、诊断、治疗策略!
舟骨
三踝
结节性硬化病
测试
心率
逆行髓内钉
膝关节
小小武林
生存指南
nginx
神经内科
强直性脊柱炎
神经瘤
踝关节肿瘤
Von Hippel-Lindau
医学图片
妇产科
肺栓塞
tillaux骨折
脊柱
领悟生活
颅内表皮样囊肿
股骨髓内钉
腰椎间盘突出
医疗创新
植入芯片
腰大肌脓肿
全髋关节置换
呼吸和肺
椎体成型
口腔牙齿
颅脑
跟骨
CT扫描和癌症
脑膜瘤
VenusA-Plus
股骨颈
tfcc
心胸循环
骨生长障碍线
器官捐献
跟骨病变
夏季损伤
肿瘤
髌骨
胃肠
崴脚了为什么要外固定?因为......
腰椎
神经鞘瘤
骨肉瘤
尺骨鹰嘴骨折
椎间孔镜
跖跗关节