最新博客
告示栏
最新文章
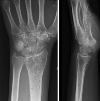
桡骨远端骨折:从解剖到手术的全面阐述
桡骨远端骨折:从解剖到手术的全面阐述...
小骨折、大麻烦:踝关节损伤,再小的骨折块也别忽视!
小骨折、大麻烦:踝关节损伤,再小的骨折块也别忽视!...
锁骨近端骨折,这样手术风险低!
锁骨近端骨折,这样手术风险低!...
后踝和后 Pilon 骨折暴露的手术入路,一文总结!
后踝和后 Pilon 骨折暴露的手术入路,一文总结!...
术中突发骨水泥反应,应该如何处理?
术中突发骨水泥反应,应该如何处理?...
主任说:前交叉韧带重建,这 5 个选择术前必须做好!
主任说:前交叉韧带重建,这 5 个选择术前必须做好!...
腓骨肌腱脱位 —— 不要再误诊为外踝扭伤了!
腓骨肌腱脱位 —— 不要再误诊为外踝扭伤了!...
Ilizarov 治疗先天性胫骨假关节:使用 Ilizarov 技术的多目标方法
先天性胫骨假关节(CPT)是儿科骨科中最具挑战性的问题之一。治疗目标是接骨术、通过腓骨稳定来稳定脚踝榫眼和下肢长度均衡。这些目标中的每一个都难以实现,但无论手术选择如何,基本的生物学考虑都是相同的:假关节切除、通过稳定固定对缺损进行生物骨桥接,以及任何成角畸形的矫正。...
梨状肌综合征,就是梨状肌作妖,卡住了坐骨神经!遇到应该这么办!
梨状肌综合征,就是梨状肌作妖,卡住了坐骨神经!遇到应该这么办!...
关注的博客
标签云
踝关节肿瘤
医学科普
舟骨
测试
VenusA-Plus
masquelet
右侧髂骨膨胀性骨质破坏,边缘有硬化,骨皮质不完整,有骨膜反应,可见边缘不清、形态不规则钙化、骨化影。考虑嗜酸性肉芽肿可能。
椎体成型
医疗创新
跟骨脂肪瘤
心率
骨肿瘤感染
骨生长障碍线
脑出血
银屑病性关节炎
纤维肉瘤
尤文氏肉瘤
少年高血压
小小武林
呼吸和肺
胃肠
跟骨空心钉
三踝
hill sachs
椎管内肿瘤
锁骨钩
拍照
腰大肌脓肿
腰椎
器官捐献
再骨折
硬膜撕裂
软件应用
跟骨囊肿
弹性髓内钉
肿瘤
nginx
news
桡骨远端板反上
皮肤
百味生活
颅内表皮样囊肿
类风湿性关节炎
椎体终板炎的分型分级、诊断、治疗策略!
颅脑肿瘤
髋关节置换
脑膜瘤
科学技术
滑膜瘤
切口情况
骶椎病变
骨性关节炎
跟骨单房性巨细胞瘤
脑血肿
跖跗关节
可调外架
深度电极
儿科
尺桡骨
喙肱中韧带前盂唇
tfcc
股骨颈
桡骨
外翻膝tka
膝关节
转子间骨折
骨肉瘤
清明
心胸循环
外科
frp
跟骨动脉瘤样骨囊肿
神经内科
肱骨近端
肌无力
Hillsachs
生存指南
股骨髓内钉
肩锁关节脱位
自我推销
骨肿瘤
软骨肉瘤
ube
全髋关节置换
髌骨
tillaux骨折
电脑网络
强直性脊柱炎
妇产科
神经瘤
神经鞘瘤
医学图片
髂骨肿瘤
植入芯片
口腔牙齿
嗜酸性肉芽肿
皮片
股骨转子间
肌腱止点
AOSD
颅脑
内科
环状混合痔
肘关节
逆行髓内钉
死亡率近乎 100% 的破伤风,预防和治疗都不能马虎!
椎间孔镜
susac综合征
间歇性胸痛
腰椎间盘突出
内生骨软骨瘤
软骨母细胞瘤
法洛四联症
腰背痛:不开检查医生就不会看病了吗?
第一腕掌关节成型
领悟生活
尺骨鹰嘴骨折
Von Hippel-Lindau
CT扫描和癌症
跟骨
肩关节置换术后
骨骺滑脱
结节性硬化病
肌肉骨骼
肺栓塞
骨样骨瘤
石骨症
脊柱
肱骨髁上
夏季损伤
钢铁侠
胫骨平台
崴脚了为什么要外固定?因为......
皮肌炎
跟骨病变